什麼是戽斗?
簡單來說,就是下排牙齒咬合起來時在外面,但上下排牙齒是可以咬到對方
戽斗除了外觀受影響外,在咬字的清晰度與咀嚼功能等方面也會有不同程度障礙。 下顎前突的發病因素,有一部份是受遺傳的影響,但是真正的原因多半不明。
下圖是患者矯正前所拍攝照片很明顯中線不正以及下顎牙比上顎還突出
這位患者當時來就診時是因左下第一大臼齒會痛,而且已經抽過神經並且戴上假牙套了,而醫師評估完建議拔除,已告知牙根病變較嚴重,拔掉後建議再搭配植牙的方式重建。因患者有戽斗的問題,又想要同時進行植牙與矯正的治療。後來評估完建議需要拔除的牙有左下第一大臼齒和右下第二大臼齒,因都有牙根病變,醫師建議先拔除較不健康的牙齒可讓下顎牙有退後的空間。
下面兩張X-RAY 可以看到圈起來地方有黑黑的病變

右下第二大臼齒 
左下第一大臼齒
此患者矯正時間大約1年半,這過程中拔了下面左邊第一大臼齒和右邊第二大臼齒,並且也在拔牙的時候同時放置骨釘在兩側加速下顎牙齒移動的速度。然而在矯正過程也把下面左邊第一大臼齒利用植牙的方式重建起來。

圖1 
圖2
圖1是在矯正過程中會有咬不到的現象是正常的。 圖2已經看到中線也較正了, 咬合也更接近

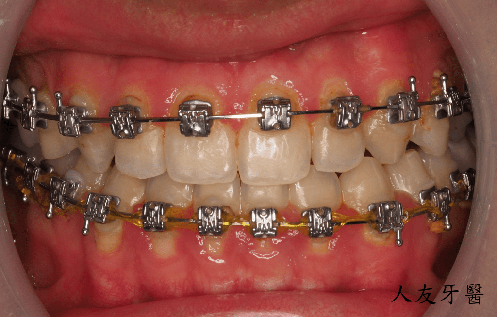
圖3 
圖4
圖3利用拔牙的空間讓下排牙齒有空間退後 圖4已經看到下排牙齒排列較整齊,植牙也完成

圖5 
圖6
圖5是矯正前下巴明顯突出 圖6 矯正後下巴明顯內縮



