牙醫諮詢Q&A
革新口腔護理:GBT清除黑色牙垢
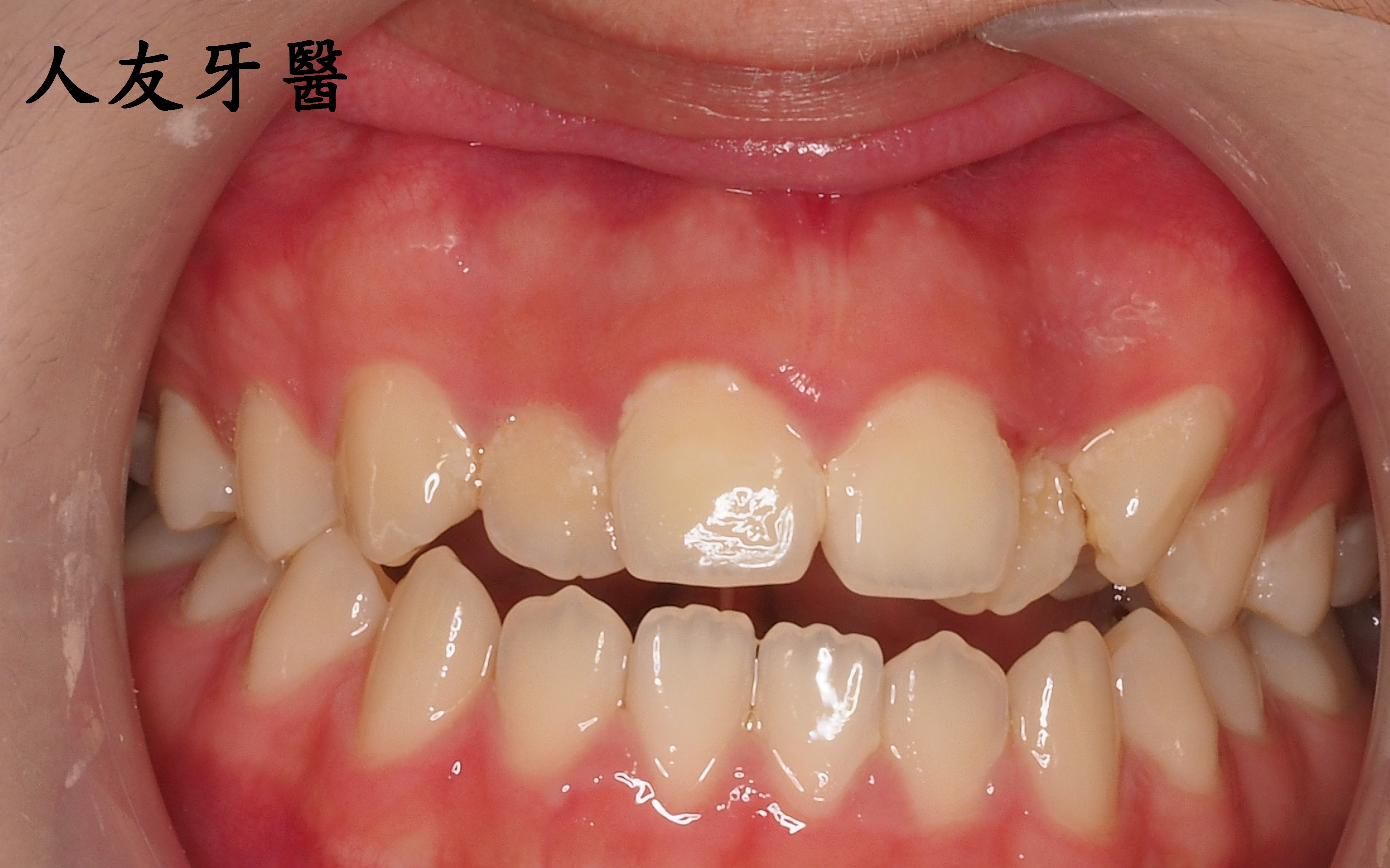
什麼是黑色牙垢
黑色牙垢是一種常見於牙齒表面的黑色條狀著色,通常出現在上顎與下顎的內側牙齒,這類色素不是蛀牙,但清潔困難易影響美觀。
常見特徵
(1)多見於牙齒的齒頸部
(2)一般牙刷難以完全清除
(3)非蛀牙,但若不處理,易藏牙菌斑
現代清潔新觀念:
<GBT引導式牙菌斑清除療法>
GBT(Guid Biofilm Therapy)是一種先染色再引導清除牙菌斑與色素的現代牙齒清潔方式
優點
(1)使用牙菌斑顯示劑,清潔色素更精準
(2)採低侵入性<溫和噴粉>清潔色素與牙菌斑
(3)保護法瑯質和牙齦
(4)患者接受度高,舒適不害怕
適合對像
(1)有黑色牙垢易堆積牙菌斑及清潔不易的患者
(2)想用更舒服的方式維持口腔健康者
案例分享
有一位26歲女患者訴說她以前洗牙很容易敏感、會痠,但經過本診所進行的舒適型噴粉淨白方式,反而讓她驚訝為什麼不會痛、不會痠,甚至可以改善長期下來愛喝茶、咖啡導致的深層茶垢,這是因為我們使用相較於傳統清潔方式不同地方所在。
左為治療前 右為治療後








傳統清潔方式與引導性生物膜(GBT)差異性
傳統清潔方式的限制
- 雖然拋光與洗牙可以短暫去除黑色汙漬,但容易傷害琺瑯質,且汙漬常在短時間內會再次出現。
引導性生物膜治療(GBT)方式
- GBT(Guid Biofilm Therapy)是透過顯示牙菌斑染劑,低侵入性氣動微粒清潔,溫和且有效的去除牙菌斑與色素,不傷害琺瑯質並提高長效保護,改善口氣與口腔衛生。
多久需做一次?
一般建議每3~6個月追蹤清潔一次,由牙醫師據個人風險進行安排
小叮嚀
(1)黑色牙垢常與特定口腔菌種有關,並非口腔衛生差的表現
(2)定期回診清潔與飲食建議搭配,可大幅改善
本診所採用專業引導性生物膜治療設備,歡迎洽詢我們醫療團隊
人友牙醫診所
電話:06-2673818
地址:701台南市東區崇明路199號
網站:www.renu199.com
我們關心每一顆小小牙齒的健康與自信
透過高效矯正改善牙齒凌亂併暴牙的微笑蛻變


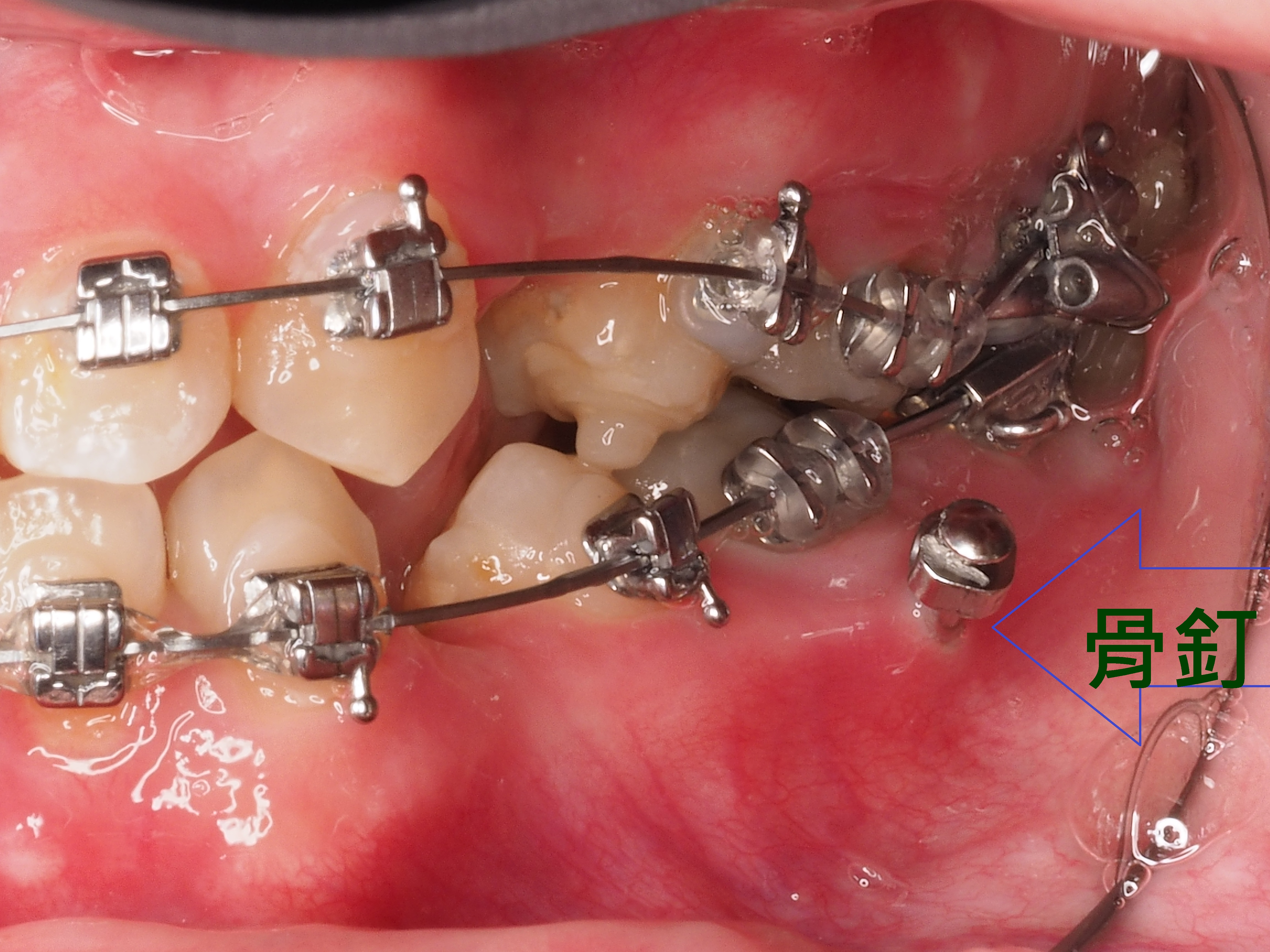
患者牙齒凌亂虎牙外暴大大影響外觀,並造成清潔不易、蛀牙、牙齦發炎等問題,透過醫師矯正評估分析建議矯正計畫內容包含拔牙、放置迷你螺絲(骨釘)等步驟,將原本凌亂外暴的虎牙歸位,改善咬合使發音更清晰,咀嚼效率更好,大幅改善清潔困擾,使日常刷牙及使用牙線清鬆有效率。


牙齒凌亂矯正後影響與優點:
1.改善清潔困難,減少蛀牙和牙齦發炎的風險,並建立穩定的咬合功能,使咀嚼更有效率。
2.外觀方面讓牙齒整齊、改善暴牙、嘴凸、笑齦等問題,使臉部比例更協調,擁有自信笑容。
3.拔牙與骨釘:為騰出空間進行矯正,需要拔牙;骨釘用於輔助移動牙齒,初期可能會有異物感,但通常很快能適應。(下兩圖)


拔牙後放骨釘關閉空間原理與優點:
1.骨釘是植入在骨頭中的支撐點,提供穩定的錨定力量,確保牙齒移動的方向不受影響。
2.傳統矯正中移動牙齒可能造成其他牙齒跟著移動,使用骨釘可以精準控制牙齒的移動方向,讓拔牙後的縫隙能有效且正確地關閉。
3.骨釘可以大幅提升牙齒移動的效率,可能縮短矯正療程時間。
4.除了關閉拔牙空間,骨釘還能應用於骨性暴牙、嚴重深咬等情況,讓治療範圍更廣。




虎牙(犬齒)暴牙缺點(上左右2圖):
口腔清潔困難:虎牙暴牙形成清潔死角,易積聚牙菌斑和牙結石,增加蛀牙、牙周病風險。
影響咀嚼與咬合:犬齒主要功能是撕裂食物,位置不對會影響咬合功能,使食物難以充分咀嚼。
發音問題:虎牙暴牙可能影響舌頭的靈活性,導致發音不清晰。
口腔黏膜受傷:也可能經常摩擦或咬到嘴唇、臉頰內側,造成破皮或不適。
形成口呼吸:嘴巴不易閉合,容易養成口呼吸習慣,導致口臭、臉部肌肉鬆弛等問題。


左右兩側的牙齒數量、牙齒凌亂程度、牙齒大小比例關係,都是會影響牙齒中線的原因。
牙齒中線偏移的缺點(上兩圖):
臉部不協調: 上排牙齒中線與臉部中線不對齊,會讓臉型看起來歪斜,視覺上不美觀。
下巴視覺上翹: 中線偏移常伴隨下巴歪斜,使下巴看起來向上翹起。
咬合不正: 牙齒排列不齊,導致咬合關係不佳,影響咀嚼功能。
牙齒矯正是一項值得的投資,不僅是視覺上的改變,更是一輩子口腔健康和心理自信。
解決牙齦萎縮與黑邊的氧化鋯牙套


患者右上側門牙牙根不穩,牙齦萎縮導致黑邊明顯露出牙根(上圖),經由牙醫師建議更換氧化鋯牙套,也調整改變咬合及牙齒的長度,避免牙齒長期受到撞擊傷害。
為何舊式金屬假牙套會讓牙齦變黑及露出牙根呢?
傳統金屬假牙缺點:
1.隨著年紀增長或牙周健康下降,牙齦會慢慢萎縮。
2.金屬材質與牙齦交界處容易因為氧化或滲漏金屬而讓牙齦變黑。
3.假牙密合度不佳也會讓細菌孳生與牙齦暴露。
不僅影響美觀,也增加牙周病及蛀牙的風險(下方真牙照片左圖)。
為何選擇氧化鋯牙套原因如下:
1.自然透光不會有黑 邊困擾,幾乎與真牙無異(下方真牙照片右圖)。
2.高生物相容,不刺激牙齦不會變色,對牙齦友善。
3.3D電腦掃描設計擁有更精準的密合度,保護牙根並延長牙齒壽命。(下圖)

4.堅固耐磨,適用前牙及後牙(下右圖)。




適合更換氧化鋯牙套的患者有哪些呢?
1.使用金屬牙套多年
2.有牙齦萎縮及黑邊或假牙時常鬆脫者
3.對金屬過敏或想追求自然美觀者
4.期望長期穩定堅固及兼顧美觀者
人友牙醫貼心小提醒:不要等到牙根蛀蝕或牙周病嚴重才想處理,讓原本可保存的牙齒變得岌岌可危。想改善假牙黑邊及牙齦萎縮現在就是最好的時機!



明星級亮白美齒!美白牙冠與貼片:哪個更適合您?

這位患者幾年前選擇陶瓷貼片改善門牙的外觀,當時覺得效果不錯,後來覺得牙色還是不夠亮白,後續回診與醫師討論後建議用全鋯牙冠來改善貼片厚度較薄,可能會造成原本的牙色透出。(下圖)

貼片的缺點:
1.較容易崩裂及損壞,若遇到強烈的撞擊或咬合過大容易破裂或缺損
(如下兩圖)
2.不適合咬硬物
3.有容易脫落風險,密合度較差
4.較容易透出原本牙齒的顏色


氧化鋯牙冠的優點:(如下兩圖)
1.高透光性,避免傳統牙套的死白感
2.長期不變色, 氧化鋯材質穩定,不會因咖啡及茶或紅酒染色影響變黃。
3.高遮色力,可覆蓋原先深色或較黃的牙齒,達到白皙透亮的齒色。
4.耐用度高,不容易崩裂。


在詳細討論後患者決定透過數位掃描及電腦設計製作氧化鋯牙套修復上顎前牙,確保牙齒顏色均勻自然而且強度更高,耐磨度更高,完成後患者表示非常滿意。
下兩圖為術前(左)及術後(右)微笑曲線


如何選擇適合自己的美學修復方式
貼片:適合輕微齒色不均,輕度齒列不整,不希望磨牙過多的患者。
氧化鋯:適合遮蓋深色牙齒,希望更長久耐用的患者。
若您對自己的笑容還有些不滿意,不妨諮詢專業牙醫師,找到最適合自己的美學修復方案喔!
門牙區單顆缺牙以植牙重建
患者多年前左上正門牙因蛀牙在他院做根管治療並加裝柱心及金屬瓷牙作為膺復假牙,幾年後引發牙根囊腫,因化膿感到不適尋求本院診治

經過醫師專業評估,由於蛀牙過深,拆除牙冠後原本的牙齒所剩過薄,已無重新根管治療的條件,建議拔除後再進行微創植牙手術


牙齒拔除後,在等待植牙的過程中先戴上局部活動假牙,主要用意為 (1)恢復前牙區的美觀,讓社交生活不會因為缺牙受影響 (2)維持牙齒空間,避免兩旁牙齒走位而影響後續植牙植入的空間

拔牙後,等待植牙區的骨頭與牙肉都長的豐滿後再進行植牙手術

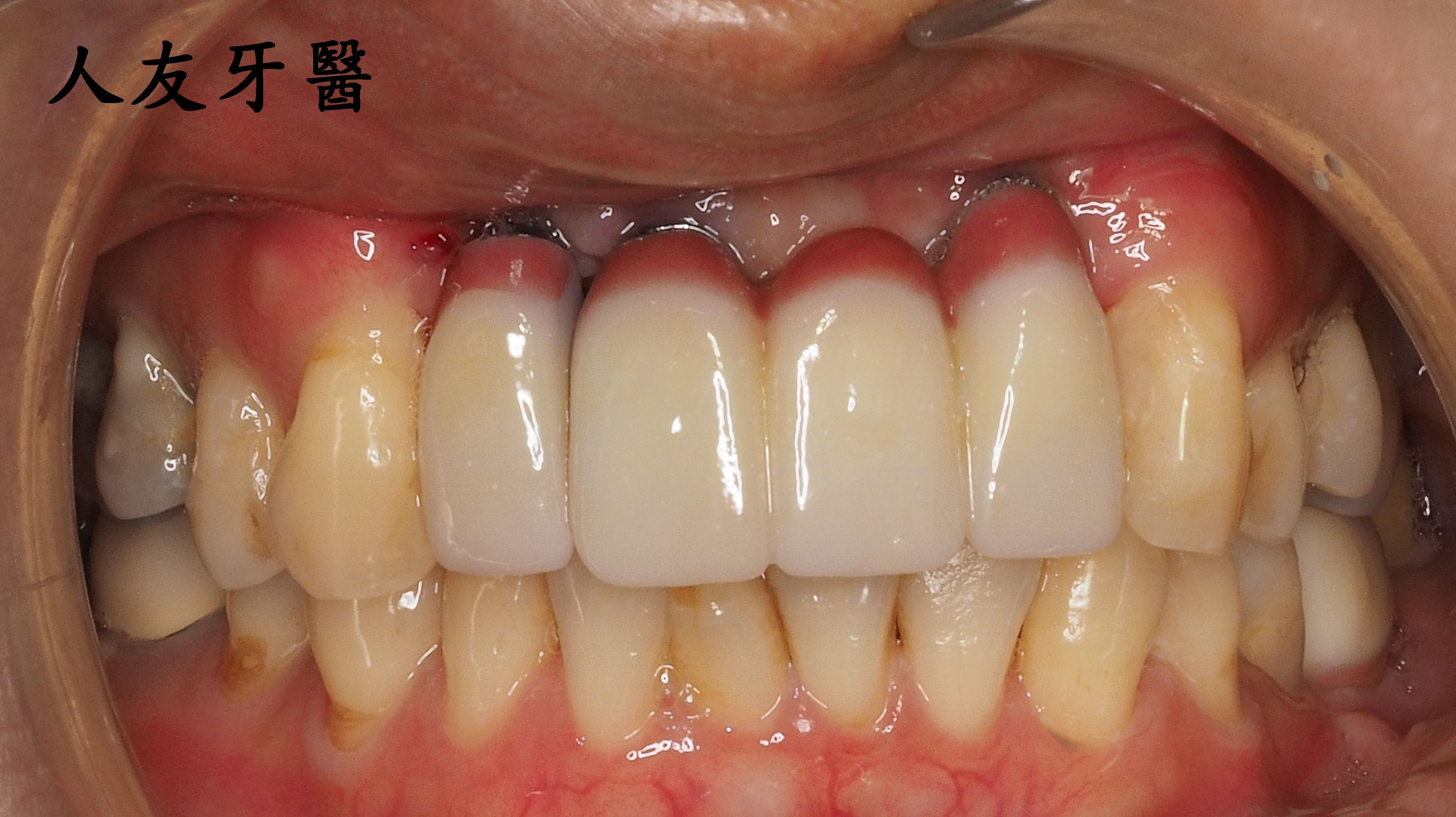
埋入植體後,待植牙骨密度到達標準值後再利用電腦掃描製作全鋯牙冠膺復
電腦掃描製作流程圖



裝上全鋯牙冠(完成圖)


植牙Q&A
植牙需多久時間
植牙流程需經過四個階段
(一)諮詢評估:檢查口腔健康,如有牙周病,蛀牙
必須先完成治療
(二)評估齒槽骨寬度,深度,厚度是否適合植牙,
若不適合則需補骨建立地基,骨肉重建約
需3~6個月時間
(三)植入人工牙根(植體):待齒槽骨狀況良好即
可埋入植體,需3~6個月時間進行骨整合,
讓植體與齒槽骨緊密結合
(四)安裝人工牙冠:骨整完成後再裝上支台套
上牙冠即完成植牙手術
植牙後應注意哪些事項
(一)保持良好口腔衛生,定期牙刷和配合牙線,
牙間刷清潔植牙和周圍牙齦
(二)不吃過硬的食物,適當的咀嚼和飲食習慣
對保護植牙很重要
(三 )依照醫師的指示,定期回診追蹤植牙的檢
查和清潔
以上這些保養都可以幫助延長植牙的壽命,並確保長期使用上更穩固和舒適
為何選擇全鋯牙冠
全鋯冠是由二氧化鋯製成,外層不燒上陶瓷,稱為全鋯牙冠,目前全鋯牙冠逐漸取代氧化鋯外層燒瓷的趨勢,也因為整顆是全鋯冠就不會發生瓷裂的問題,硬度絕佳,強度高於傳統的金屬假牙,此外傳統假牙密合度較差,不僅影響美觀上的視覺效果,更影響使用上的壽命
而現今已有3D口掃系統,在製作過程精準度遠高於傳統假牙印模方式,製作出的全鋯冠在密合度以及硬度和美觀上都遠比傳統金屬牙冠更進一步提升
且全鋯冠擁有良好的生物相容性,對人體幾乎沒有不良的反應,是一個不錯的選擇
大範圍門牙缺牙區以植牙假牙重建
這位年輕女性患者的門牙和側門牙在別家治療半年,也有做四顆相連的牙橋,一直覺得很不舒服,笑起來不自然也不美觀,聽到鑽牙齒的聲音也很害怕。
下圖是別家做的牙橋

想詢問周醫師如何處理。醫師看了X-RAY發現右邊側門牙紅色圓圈的地方有病變,有可能留不住。左邊側門牙藍色箭頭牙齒有裂到肉,也可能留不住。經過討論後建議都拔除。

拔完牙後一個月,看傷口癒合情況,因兩顆門牙缺牙太久,齒槽骨流失比較多,醫師建議補骨跟植牙同時進行,植入三根牙根,位置分別在於右邊側門牙一顆,右邊正門牙和左邊側門牙。

再用左邊側門牙牙套搭橋到右邊正門牙牙套(三顆相連),右邊側門牙獨立做牙套。使門面變好看,說話也不會漏風。

術前嘴唇凹陷


CAMERA
植牙完成後有幫牙套做牙肉色,牙齒才不會看起來太長。患者也不再抗拒看牙齒,說話口齒也很清晰。門面美觀又自然。


Q&A
1.植牙前要先補骨嗎?
有些患者剛拔完牙,齒槽骨還沒流失太多,是可以直接植牙的。有些患者缺牙太久齒槽骨凹陷,沒辦法做牙齒,必須先補骨,等骨頭長好,在植牙。門牙缺牙的患者,沒有牙齒支撐,會讓嘴唇塌下去,說話會漏風,建議補骨植牙,讓嘴唇飽滿,看起來也會比較年輕有活力。
2.植體和假牙套是什麼材質?
植牙的人工牙根材質是衛署合格認證的醫療用鈦金屬,牙套是使用義大利原廠進口,也是衛署合格認證的全鋯牙冠,不含金屬,對牙肉有親和力。
3.門牙植牙期間,沒有牙齒怎麼辦?

上圖紅色圓圈地方是過渡時期活動牙,門牙植入植體後,等待與骨頭密合時是缺牙的,這時候我們會讓患者有一個活動牙,讓缺牙地方有一個門面。
麗質不用天生–嘴唇外凸可以矯正嗎?!
患者陳小姐嘴唇外凸,下門牙分開有一個漏財縫,陳小姐想透過矯正把漏財縫關掉跟改善嘴唇外凸的狀況.


矯正過程中拔掉4顆小臼齒,透過迷你螺絲調整往後拉關縫,讓患者的嘴唇外凸獲得改善,下門牙的漏財縫也關掉了.









而左側門牙根尖有一個病變,醫師透過根管治療的方式把牙根深層的細菌清除乾淨,放入柱心補強,最後再搭配牙套保護.






Q1:矯正為何可以改暴牙與脣形?
Ans:暴牙嘴凸矯正就是前排牙是否有後退空間,當後退空間不足時通常拔牙來製造空間,拔牙加上骨釘配合把牙齒往後退使牙齒排列整齊,最終能改善暴牙與脣形。
Q2:矯正一定要拔牙嗎?
Ans:牙齒矯正有分為拔牙與不拔牙兩種方式。
拔牙矯正
一般會拔牙矯正的主要原因是「空間不足」,拔了牙齒才有足夠空間排列整齊。另外還有像是:嘴凸、嚴重暴牙、虎牙較明顯或牙齒排列擁擠不整齊等情況,通常是需要以拔牙的方式進行矯正療程。
不拔牙矯正
不拔牙的矯正則是當空間需求不是那麼大的時候,例如:牙齒間縫隙較大要關縫或輕微凌亂且深咬就比較不需要拔牙。有時並不表示完全不需要空間,可能會藉由修磨牙縫來得到些許空間去做牙齒的移動。
綜合上述如果想要避免拔牙,可以讓孩童和青少年及早檢查齒顎狀況。因齒顎的發育還在進行,牙齒更換與骨頭發育都還未完成,讓牙齒有更多空間可以生長,所以早期矯正可以大幅降低拔牙的機率。矯正如何進行會需要患者與矯正醫師去做討論與評估,選擇最接近預期目標,並且最適合患者的矯正方案與治療方式。
牙齒整齊變白越來越簡單

患者左上門牙因為牙周病牙床感染牙齒整個往下掉,門面縫隙整個也變很大,也大大影響美觀。

經醫師評估後建議患者先進行牙周 病治療,患者想要矯正把縫隙關起來,但因矯正時間較久患者詢問是否有其他較短的療程可以來治療?
後續醫師提出另一個方式,兩顆門牙同時做根管治療後套上全鋯牙冠(下兩圖),後續患者想進行全口冷光美白。治療前一樣先利用電腦數位掃描製作美容樹脂牙套,治療期間配戴。




冷光美白會傷牙齒嗎?
新款冷光美白療程可以降低及緩解敏感症狀,美白效果好,最重要可以降低齲齒機率同時強化牙釉質,維護牙齒健康。


牙周病雷射治療是什麼?
雷射牙周病治療具有優異的殺菌能力,還能降低治療過程中的流血量、疼痛感、傷口大小,且可以提升牙周自癒及再生能力、促進傷口癒合、縮短恢復期。




牙齒塞牙縫的解決方法–案例分享

患者左上犬齒與第一小臼齒中間的縫隙很容易塞食物,牙根裸露也讓舊式牙套包覆性變得很不好。(上下圖箭頭處)

經醫師評估後,建議患者先拆除舊式金屬牙套,並利用數位掃描並設計美容樹脂牙套先測試,期間治療牙周病,及小臼齒根管治療,牙周病控制下來後並進行人工骨粉填補地基掏空的部分。(下方兩圖)


牙周補骨效果如何?
補骨的目的會提供牙齒穩固的基礎,改善口腔骨質狀況,控制牙周病使補骨手術成功率更高,牙齒能更穩固的紮在骨頭上。
根管治療後牙齒會堅固嗎?
牙齒進行根管治療時,醫師會先清除牙髓及牙根管中的發炎組織,清除完並沖洗乾淨後再將牙根管填補進牙齒中,如此一來可以保留牙根,可穩固牙根,根 管治療完成後會置放一根柱心強化(下方圖)。

後續進行電腦掃描利用數位設計製作全鋯牙冠贗復,既美觀又自然。(下圖箭頭處)強化及恢復牙齒原來的功能及型態。



門牙開咬合併擁擠(案例分享)
患者本身門牙開咬(前面上排牙齒沒有碰到下排牙齒),上排的側門牙與犬齒重疊,導致側門牙蛀很深,需要做根管治療,治療完,裡面放一支柱心補強,最後用牙套保護起來。醫師建議可以做矯正,把牙齒排列整齊,其他牙齒才不會再蛀牙。矯正完成後,側門牙再裝一顆正式牙套保護起來。



患者習慣吞口水時舌頭會往前頂,導致暴牙,嘴唇翹翹的,矯正除了把牙齒排整齊,也教導患者如何吞口水練習(吞口水時舌頭要貼在上顎)。
經醫師評估後,可以改善前牙開咬和暴牙情形,需拔除四顆小臼齒,製造空間,上排兩邊需各鎖上一顆迷你螺絲,利用迷你螺絲力量讓矯正器更有效果。


矯正完成後,側門牙裝上牙套





上圖那條紅色線稱為美觀線(E-line)
美觀線是從我們的側臉「鼻子尖端到下巴尖端的連線」,上下唇如果沒有碰到美觀線,在稍微有一點距離的位置,是被認為比較好看的臉型。
