

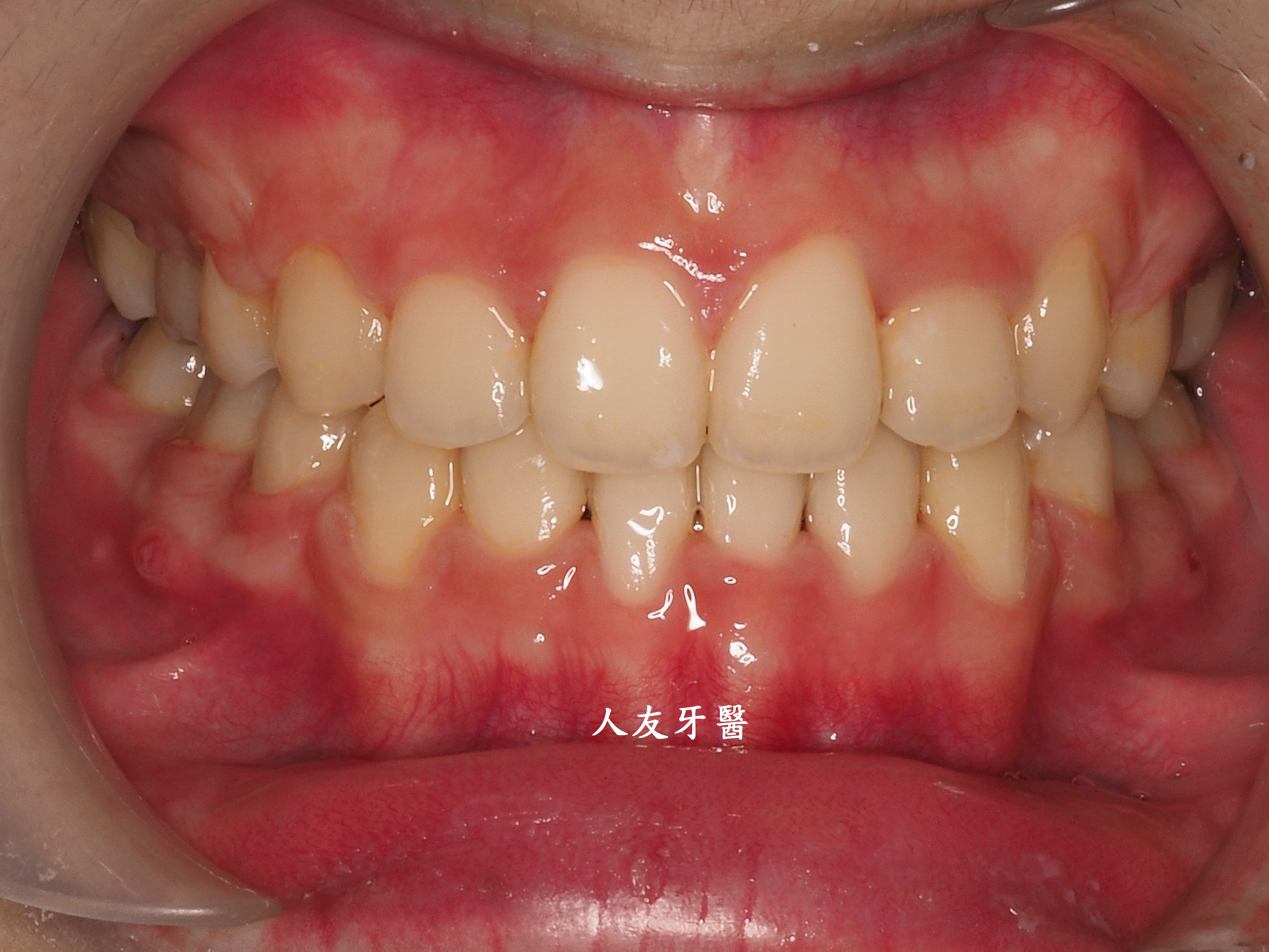
患者牙齒凌亂虎牙外暴大大影響外觀,並造成清潔不易、蛀牙、牙齦發炎等問題,透過醫師矯正評估分析建議矯正計畫內容包含拔牙、放置迷你螺絲(骨釘)等步驟,將原本凌亂外暴的虎牙歸位,改善咬合使發音更清晰,咀嚼效率更好,大幅改善清潔困擾,使日常刷牙及使用牙線清鬆有效率。


牙齒凌亂矯正後影響與優點:
1.改善清潔困難,減少蛀牙和牙齦發炎的風險,並建立穩定的咬合功能,使咀嚼更有效率。
2.外觀方面讓牙齒整齊、改善暴牙、嘴凸、笑齦等問題,使臉部比例更協調,擁有自信笑容。
3.拔牙與骨釘:為騰出空間進行矯正,需要拔牙;骨釘用於輔助移動牙齒,初期可能會有異物感,但通常很快能適應。(下兩圖)


拔牙後放骨釘關閉空間原理與優點:
1.骨釘是植入在骨頭中的支撐點,提供穩定的錨定力量,確保牙齒移動的方向不受影響。
2.傳統矯正中移動牙齒可能造成其他牙齒跟著移動,使用骨釘可以精準控制牙齒的移動方向,讓拔牙後的縫隙能有效且正確地關閉。
3.骨釘可以大幅提升牙齒移動的效率,可能縮短矯正療程時間。
4.除了關閉拔牙空間,骨釘還能應用於骨性暴牙、嚴重深咬等情況,讓治療範圍更廣。




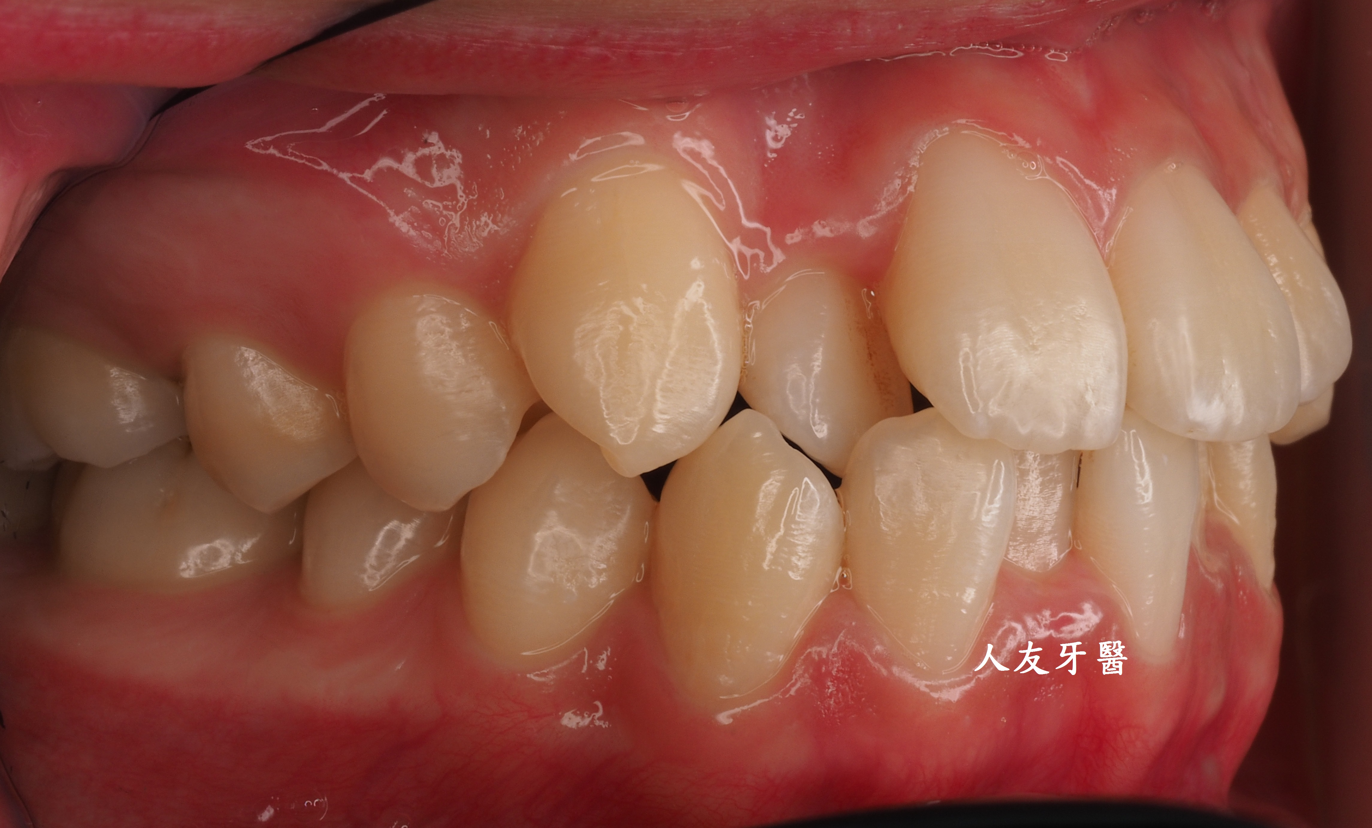
虎牙(犬齒)暴牙缺點(上左右2圖):
口腔清潔困難:虎牙暴牙形成清潔死角,易積聚牙菌斑和牙結石,增加蛀牙、牙周病風險。
影響咀嚼與咬合:犬齒主要功能是撕裂食物,位置不對會影響咬合功能,使食物難以充分咀嚼。
發音問題:虎牙暴牙可能影響舌頭的靈活性,導致發音不清晰。
口腔黏膜受傷:也可能經常摩擦或咬到嘴唇、臉頰內側,造成破皮或不適。
形成口呼吸:嘴巴不易閉合,容易養成口呼吸習慣,導致口臭、臉部肌肉鬆弛等問題。

























































