這位年輕女性患者的門牙和側門牙在別家治療半年,也有做四顆相連的牙橋,一直覺得很不舒服,笑起來不自然也不美觀,聽到鑽牙齒的聲音也很害怕。
下圖是別家做的牙橋

想詢問周醫師如何處理。醫師看了X-RAY發現右邊側門牙紅色圓圈的地方有病變,有可能留不住。左邊側門牙藍色箭頭牙齒有裂到肉,也可能留不住。經過討論後建議都拔除。

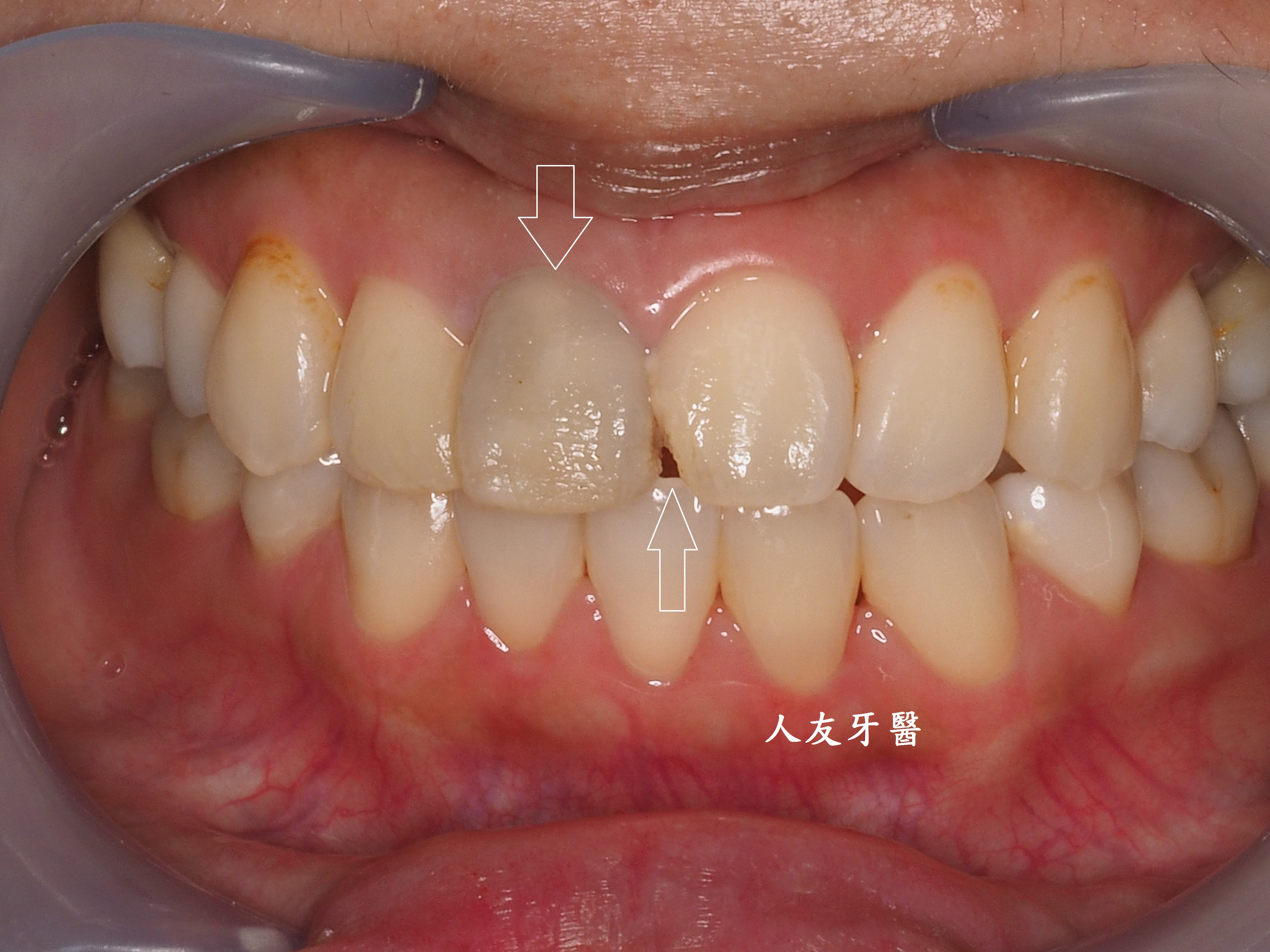
拔完牙後一個月,看傷口癒合情況,因兩顆門牙缺牙太久,齒槽骨流失比較多,醫師建議補骨跟植牙同時進行,植入三根牙根,位置分別在於右邊側門牙一顆,右邊正門牙和左邊側門牙。

再用左邊側門牙牙套搭橋到右邊正門牙牙套(三顆相連),右邊側門牙獨立做牙套。使門面變好看,說話也不會漏風。

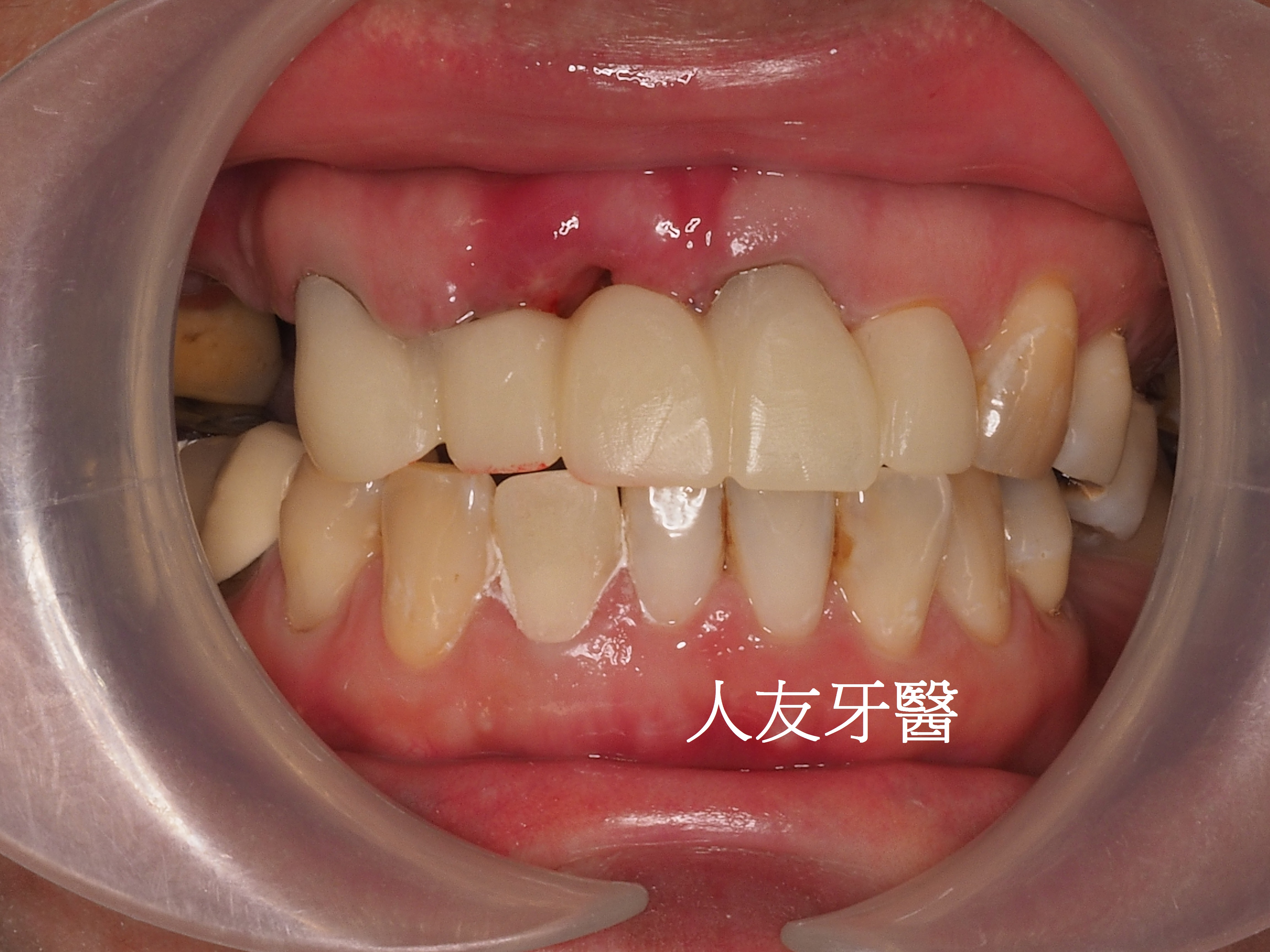
術前嘴唇凹陷


CAMERA
植牙完成後有幫牙套做牙肉色,牙齒才不會看起來太長。患者也不再抗拒看牙齒,說話口齒也很清晰。門面美觀又自然。


Q&A
1.植牙前要先補骨嗎?
有些患者剛拔完牙,齒槽骨還沒流失太多,是可以直接植牙的。有些患者缺牙太久齒槽骨凹陷,沒辦法做牙齒,必須先補骨,等骨頭長好,在植牙。門牙缺牙的患者,沒有牙齒支撐,會讓嘴唇塌下去,說話會漏風,建議補骨植牙,讓嘴唇飽滿,看起來也會比較年輕有活力。
2.植體和假牙套是什麼材質?
植牙的人工牙根材質是衛署合格認證的醫療用鈦金屬,牙套是使用義大利原廠進口,也是衛署合格認證的全鋯牙冠,不含金屬,對牙肉有親和力。
3.門牙植牙期間,沒有牙齒怎麼辦?

上圖紅色圓圈地方是過渡時期活動牙,門牙植入植體後,等待與骨頭密合時是缺牙的,這時候我們會讓患者有一個活動牙,讓缺牙地方有一個門面。



















































