3D電腦數位掃描, 牙套, 美白, 蛀牙, 貼片, 貼片,鑲瓷塊, 假牙, 全瓷牙, 全鋯牙, 數位

明星級亮白美齒!美白牙冠與貼片:哪個更適合您?

美白牙冠術後

這位患者幾年前選擇陶瓷貼片改善門牙的外觀,當時覺得效果不錯,後來覺得牙色還是不夠亮白,後續回診與醫師討論後建議用全鋯牙冠來改善貼片厚度較薄,可能會造成原本的牙色透出。(下圖)

美白牙套術前

貼片的缺點:

1.較容易崩裂及損壞,若遇到強烈的撞擊或咬合過大容易破裂或缺損
(如下兩圖)

2.不適合咬硬物

3.有容易脫落風險,密合度較差

4.較容易透出原本牙齒的顏色

氧化鋯牙冠的優點:(如下兩圖)

1.高透光性,避免傳統牙套的死白感

2.長期不變色, 氧化鋯材質穩定,不會因咖啡及茶或紅酒染色影響變黃

3.高遮色力,可覆蓋原先深色或較黃的牙齒,達到白皙透亮的齒色。

4.耐用度高,不容易崩裂

在詳細討論後患者決定透過數位掃描及電腦設計製作氧化鋯牙套修復上顎前牙,確保牙齒顏色均勻自然而且強度更高,耐磨度更高,完成後患者表示非常滿意。

下兩圖為術前(左)及術後(右)微笑曲線

如何選擇適合自己的美學修復方式

貼片:適合輕微齒色不均,輕度齒列不整,不希望磨牙過多的患者

氧化鋯:適合遮蓋深色牙齒,希望更長久耐用的患者

若您對自己的笑容還有些不滿意,不妨諮詢專業牙醫師,找到最適合自己的美學修復方案喔!

矯正, 門牙, 貼片, 人友牙醫

反咬(戽斗)矯正+陶瓷貼片(案例分享)

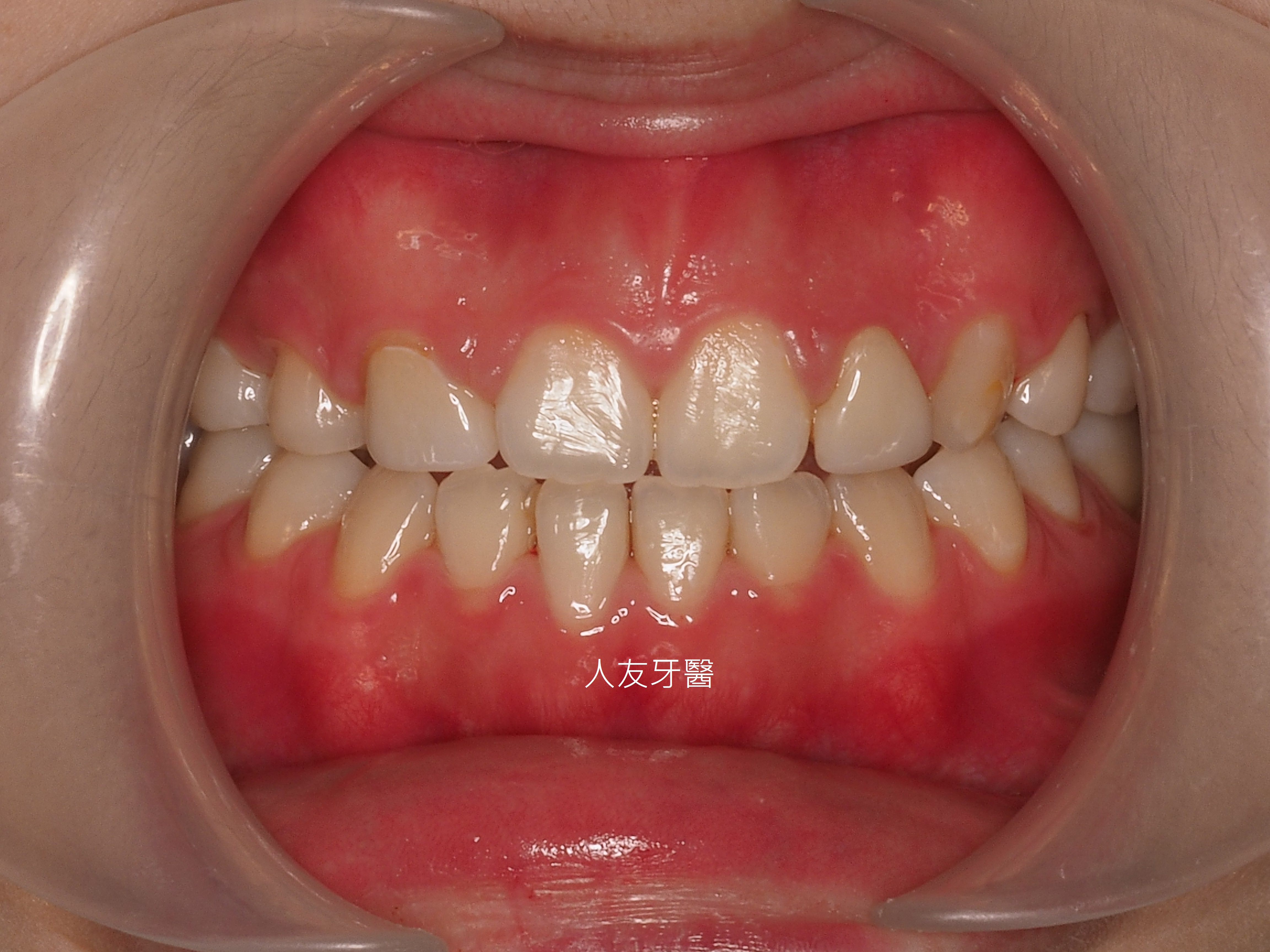
患者因下排門牙咬在上排門牙前面形成反咬,導致不好咀嚼食物,這是屬於第三期咬合不正,也就是我們所謂的戽斗

1.什麼是反咬(戽斗)!?

當咬合時下排牙齒咬在上排牙齒前面。

2.反咬(戽斗)不治療有關係嗎!?

1.咀嚼功能不好、甚至影響到健康。

2.容易造成蛀牙及牙周病問題。

3.戽斗會影響嘴型導致講話時發音不正確。

4.影響臉型外觀﹑對自己越來越沒自信,社交方面自尊也受到影響。

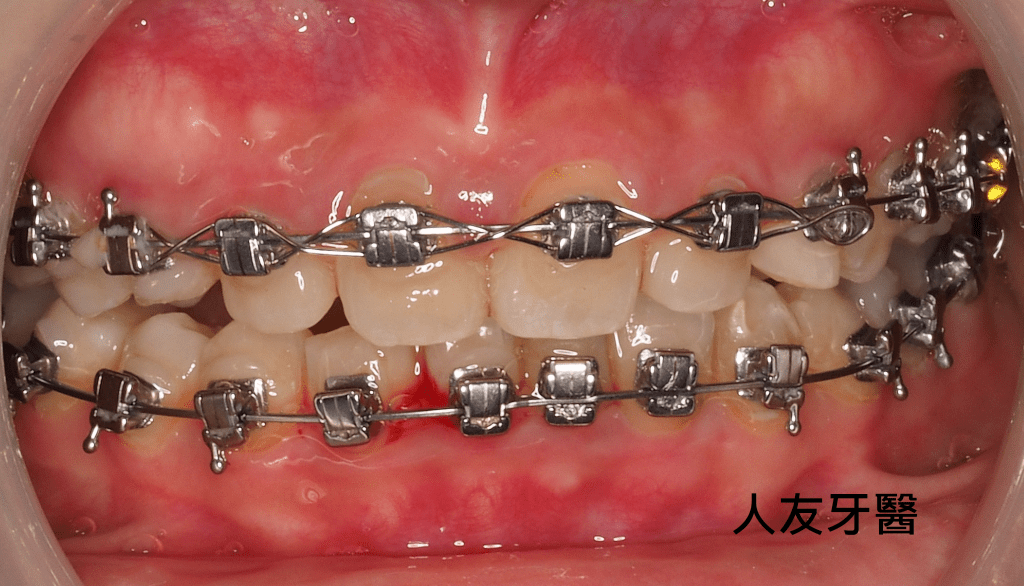
經由醫師評估,此患者決定做矯正治療,使用自鎖式矯正器,讓牙齒咬合咬到正確位置。

什麼是自鎖式矯正器!?跟傳統矯正器差在哪!?

自鎖式矯正器跟傳統矯正器的差在於多一個蓋子,能固定矯正線,不像傳統矯正要把每個矯正器用橡皮筋或結紮線固定。

因為是滑蓋設計,相對的摩擦力阻力較小,也比較不容易磨擦口腔黏膜。矯正過程中更舒適,治療時間也比傳統矯正來的快速

矯正前,下排牙齒咬在上排牙齒前面。

使用自鎖式矯正器。

矯正後,下排牙齒已經咬在上排牙齒的後面,恢復咬合。

矯正後臉型。

什麼是陶瓷貼片!?

陶瓷貼片就是以陶瓷做成的牙齒貼片,可以根據每位患者的牙齒大小、形狀、齒縫的不同設計出適合每個人的牙齒貼片。在配合臉型及脣形打造出屬於自己的微笑曲線。

下面這位患者因做完矯正後,覺得側門牙與另一邊的側門牙大小不對稱,想做陶瓷貼片改變牙齒的大小。

完成陶瓷貼片後,兩邊側門牙不僅對稱了,也提高牙齒的透光度。

3D電腦數位掃描, 牙套, 矯正, 貼片, 全瓷牙, 全鋯牙, 數位, 乳牙, 人友牙醫

牙齒矯正+美容貼片案例分享

患者因上排牙齒有大小顆的問題,而且門縫又過大(俗稱:露財縫)之所以來評估矯正治療。

在評估過程中,醫師從全口X光片發現上面兩顆犬齒是乳牙,卻沒有生長恆牙,而乳牙的型態及美觀上又比其它恆牙牙齒來的小,所以醫師建議使用3D數位美容貼片的方式,可以讓整體的微笑曲線加分許多,也不需要磨耗過多的牙齒,並且可以在上排牙齒左右兩側放置迷你螺絲加速牙齒移動速度。

上面照片已經可以看到牙縫慢慢的閉合起來 上排左右兩顆犬齒已設計完成美容貼片

裝上美容貼片後再微調細微地方就可以完成囉!

最後放上術前與術後照片是不是比較起來差很多呢~~

矯正, 貼片

牙齒矯正搭配美容貼片

矯正前

患者右上側門牙天生缺牙,也考慮臉型所以不建議拔掉左上側門牙。

評估後建議利用矯正關縫隙,左上側門牙跟右上犬齒矯正完成後裝上美容全鋯貼片,不須另外多植一顆牙齒。

矯正完成後貼上全鋯貼片,再現整齊自然的微笑曲線。

3D電腦數位掃描, 貼片, 數位

虎牙貼片案例分享

 

陳雪玲2

患者原先左上虎牙有縫隙也有蛀牙,經醫師評估與患者討論後決定使用全鋯貼片來贗復。

先把原先蛀牙部分清除乾淨,因為沒有蛀到神經可以直接填補。

利用電腦掃描設計全鋯貼片,裝上之後縫隙不見了,非常自然又美觀。

虎牙本身在咀嚼和外觀上有很重要的功用喔!

陳雪玲PIC1
完成貼片

OLYMPUS DIGITAL CAMERA
完成貼片

OLYMPUS DIGITAL CAMERA
完成貼片

3D電腦數位掃描, 門牙, 貼片

我的前牙黑黑的,還有縫隙怎麼有效解決?

 

OLYMPUS DIGITAL CAMERA
美齒貼片前

OLYMPUS DIGITAL CAMERA
美齒貼片後

 門面也是代表一個人形象的重要關鍵,也能讓人 自信展現笑容讓顏值加分。

有些人牙齒色澤不均泛黑藥物色素沉澱牙齒不整過小局部輕微的損傷….等,都可以採用全鋯貼片來改善,整體牙齒形狀會更加整齊美觀,色澤也非常自然,現在的瓷牙貼片技術幾乎可達到不太需要磨牙,利用3D電腦讓貼片更密合,使用時效達到更久,飲食上盡量避免啃過硬的食物,可先與專業牙醫師來討論自己的想法,在醫師評估及治療後來達到最滿意的效果。