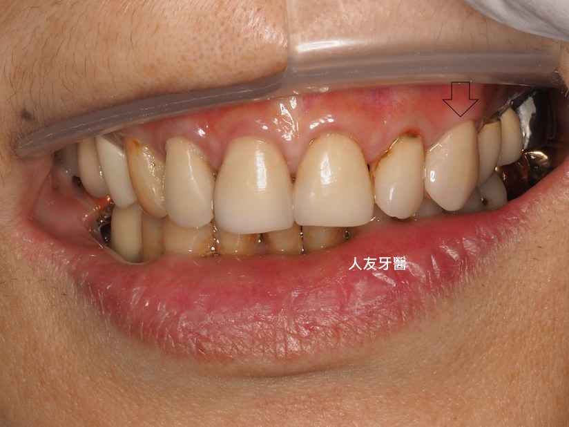
3D電腦數位掃描, 貼片, 數位虎牙貼片案例分享 30 六月, 2020 naomi 患者原先左上虎牙有縫隙也有蛀牙,經醫師評估與患者討論後決定使用全鋯貼片來贗復。 先把原先蛀牙部分清除乾淨,因為沒有蛀到神經可以直接填補。 利用電腦掃描設計全鋯貼片,裝上之後縫隙不見了,非常自然又美觀。 虎牙本身在咀嚼和外觀上有很重要的功用喔! 完成貼片 完成貼片 完成貼片 分享此文: 分享到 X(在新視窗中開啟) X 分享到 Facebook(在新視窗中開啟) Facebook 喜歡 正在載入... 發表者:naomi 檢視 naomi 的所有文章