什麼是黑色牙垢
黑色牙垢是一種常見於牙齒表面的黑色條狀著色,通常出現在上顎與下顎的內側牙齒,這類色素不是蛀牙,但清潔困難易影響美觀。
常見特徵
(1)多見於牙齒的齒頸部
(2)一般牙刷難以完全清除
(3)非蛀牙,但若不處理,易藏牙菌斑
現代清潔新觀念:
<GBT引導式牙菌斑清除療法>
GBT(Guid Biofilm Therapy)是一種先染色再引導清除牙菌斑與色素的現代牙齒清潔方式
優點
(1)使用牙菌斑顯示劑,清潔色素更精準
(2)採低侵入性<溫和噴粉>清潔色素與牙菌斑
(3)保護法瑯質和牙齦
(4)患者接受度高,舒適不害怕
適合對像
(1)有黑色牙垢易堆積牙菌斑及清潔不易的患者
(2)想用更舒服的方式維持口腔健康者
案例分享
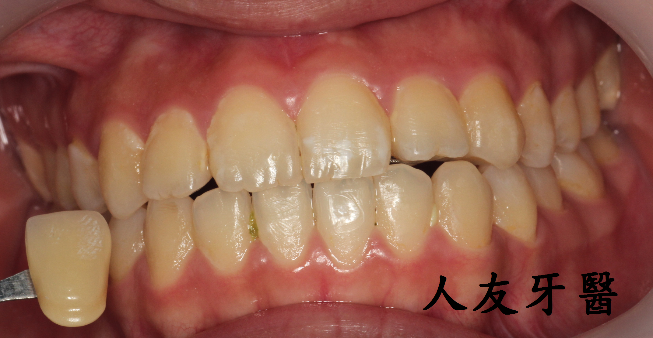
有一位26歲女患者訴說她以前洗牙很容易敏感、會痠,但經過本診所進行的舒適型噴粉淨白方式,反而讓她驚訝為什麼不會痛、不會痠,甚至可以改善長期下來愛喝茶、咖啡導致的深層茶垢,這是因為我們使用相較於傳統清潔方式不同地方所在。
左為治療前 右為治療後








傳統清潔方式與引導性生物膜(GBT)差異性
傳統清潔方式的限制
- 雖然拋光與洗牙可以短暫去除黑色汙漬,但容易傷害琺瑯質,且汙漬常在短時間內會再次出現。
引導性生物膜治療(GBT)方式
- GBT(Guid Biofilm Therapy)是透過顯示牙菌斑染劑,低侵入性氣動微粒清潔,溫和且有效的去除牙菌斑與色素,不傷害琺瑯質並提高長效保護,改善口氣與口腔衛生。
多久需做一次?
一般建議每3~6個月追蹤清潔一次,由牙醫師據個人風險進行安排
小叮嚀
(1)黑色牙垢常與特定口腔菌種有關,並非口腔衛生差的表現
(2)定期回診清潔與飲食建議搭配,可大幅改善
本診所採用專業引導性生物膜治療設備,歡迎洽詢我們醫療團隊
人友牙醫診所
電話:06-2673818
地址:701台南市東區崇明路199號
網站:www.renu199.com
我們關心每一顆小小牙齒的健康與自信













































