跳至內容區
人友牙醫 RenU
未來,從"齒"改變!
選單
首頁
人友牙醫診所
與我們連絡
牙醫諮詢Q&A
人友牙醫診所最新消息
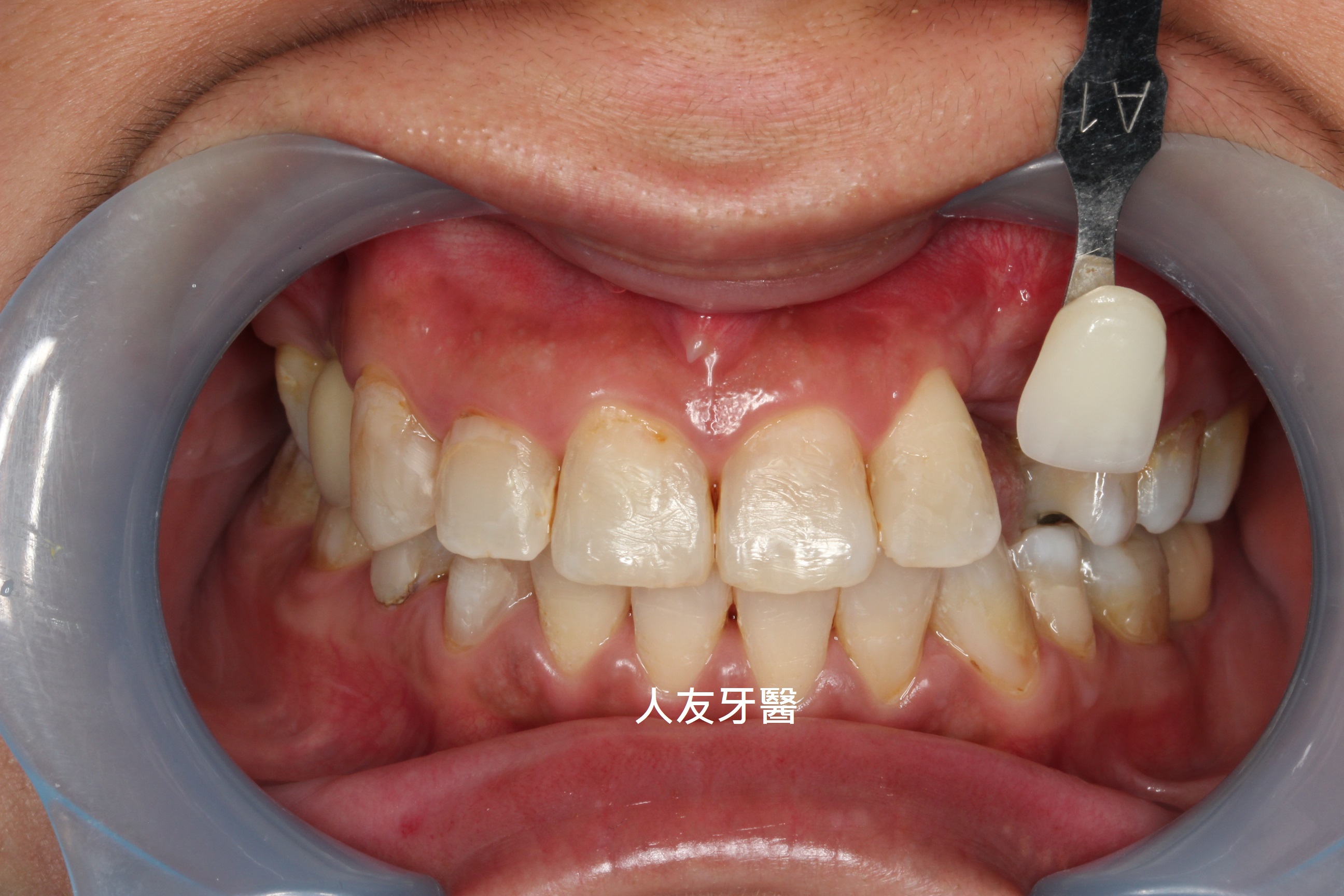
IMG_5719
發表者:
naomi
檢視 naomi 的所有文章
文章分頁導航
舊文章
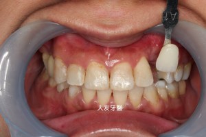
IMG_5719
發表留言
取消回覆
Δ
留言
訂閱
已訂閱
人友牙醫 RenU
我要註冊
已經有 WordPress.com 帳號了?
立即登入。
人友牙醫 RenU
訂閱
已訂閱
註冊
登入
複製短網址
回報此內容
以閱讀器檢視
管理訂閱
收合此列