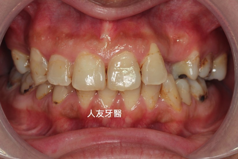
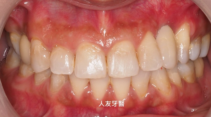
矯正, 美白, 植牙矯正搭配植牙case 25 二月, 2019 naomi 治療前 患者先前有矯正過一次,因為缺牙區縫隙很大,經醫師評估溝通療程為:植牙前先上矯正器,期間植入人工牙根等待植體與骨頭結合密度夠,矯正空間也足夠後開始取模型完成牙套裝置,拆除矯正器後利用居家美白療程來美白牙齒,完成後再裝置相同色階的牙套,顏色美觀又自然。 矯正植牙期間 居家美白前 居家美白後 療程完成後 分享此文: 分享到 X(在新視窗中開啟) X 分享到 Facebook(在新視窗中開啟) Facebook 喜歡 正在載入... 發表者:naomi 檢視 naomi 的所有文章