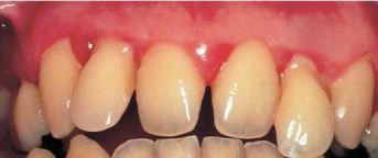
牙周病,蛀牙睡眠不足、慢性疲勞會讓牙周病惡化 12 九月, 20187 十一月, 2018 naomi 很多成人都被牙周病纏身,隨著年紀增長,細胞再生能力會衰退,促使牙周病惡化,年紀越大牙周病患越多。 牙周病菌的毒性比蛀牙病菌強烈,多半是厭氧菌有毒性,只要細菌接觸牙齦就會發炎,就會腫起來。 牙齦發炎 慢性疲勞也會增加 牙周病的風險。 壓力、睡眠不足、感冒生病等等有時候會形成口內炎,就算補充維他命或塗藥也很難痊癒。慢性疲勞會拖累身體的自癒能力,現代人壓力過大,睡眠不足的毛病,牙周病的風險會較高。 牙齦發炎 分享此文: 分享到 X(在新視窗中開啟) X 分享到 Facebook(在新視窗中開啟) Facebook 喜歡 正在載入... 發表者:naomi 檢視 naomi 的所有文章