
作者: renu199
美齒貼片

高科技3D植牙
定期看牙醫,是預防而非治療

許多人害怕看牙醫,盡可能拖延不就診,
聽到電鑽聲就起雞皮,甚至要求在治療時施予麻醉。
其實看牙醫一點也不可怕,只要吃完東西後刷牙,
每顆仔細的清潔乾淨就能有效的避免蛀牙或牙周病。
每天持之以恆,根本不需要接受牙科治療。
但這麼簡單的事情很多人卻做不到,只好和牙齒說再見。
預防勝於治療,但放眼國際,亞洲人的潔牙智商依舊偏低。
口乾舌燥,代表免疫力下降
一般人認為唾液是理所當然的存在,或許我們無法想像沒有唾液的生活,
但確實有人因治療疾病喪失唾液。例如癌症或疾病發生在頭部、頸部而接受放射線治療時,
或藥物治療,放射線照到腮腺會使其失去分泌唾液的功能。
病患不得不在治療癌症與放棄唾液之間作出抉擇。大部分人會以治療癌症為優先,
但之後的生活品質就會受到影響,必須承受許多不便。沒有唾液其實會造成許多問題,
例如嘴巴常會口乾舌燥而無法持續說話,因為嘴巴不靈活,必須常常不停喝水
, 唾液減少 , 吃的食物也會大大受限。無法正常分泌唾液會讓生活品質明顯的下降。
唾液的清潔功能可以洗去細菌,使其流入胃中,但若沒有唾液作為盾牌,細菌就能輕易從蛀洞進入血液中 , 形成菌血症 , 可能引起無力及發燒等症狀。若進一步惡化 , 血液中的細菌增加 , 可能感染全身 , 最後引發敗血症 , 抵抗力下降 , 多重器官衰竭 , 最後可能喪命 , 可想而知唾液多寡對我們而言有多重要,所以一點也不能大意。
植牙牙根為何會斷裂?
人工植牙斷裂臨床上並不常見 , 大多為過重的咬合壓力 , 導致側方壓力過大 , 逐漸產生鈦金屬彈性疲乏而斷裂 , 鈦金屬製作的植體 , 金屬疲乏的發生如同車子零件疲乏般 , 大家都不願意見到 , 雖很少有機會 , 但還是會發生。 處理植牙斷裂與自然牙相似 , 將斷裂的植體從齒槽骨取出 , 等傷口完全癒合 , 再考慮重新植牙 !
安舒鎮靜牙醫治療,是一種國際公認最有效的牙科鎮靜技術, 鎮靜過程患者能配合醫師的指示做張口等動作, 讓患者在放鬆的狀態下完成治療, 不再恐懼牙科治療, 讓您不再因為恐懼牙醫耽誤黃金治療期.


冷光美白色澤自然美觀,展現燦爛笑容

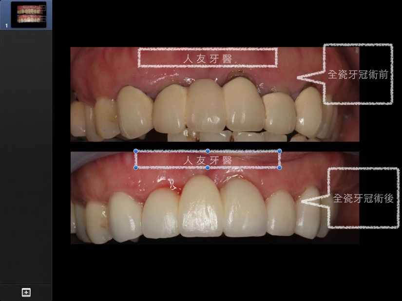
傳統瓷牙最怕瓷裂,產生黑色粗糙金屬外露,造成不雅外觀及口臭。來自義大利精品Zirkonzahn(瓷康讚)最新產品Prettau Zirconia(倍透全鋯瓷),成品製作採用3D電腦5軸設計切削,一體成型,精密`美觀`堅固,後牙避免瓷裂的最好選擇!


