3D電腦數位掃描, 牙橋, 門牙, 全鋯牙, 數位, 植牙

車禍意外,植牙贗復(案例分享)

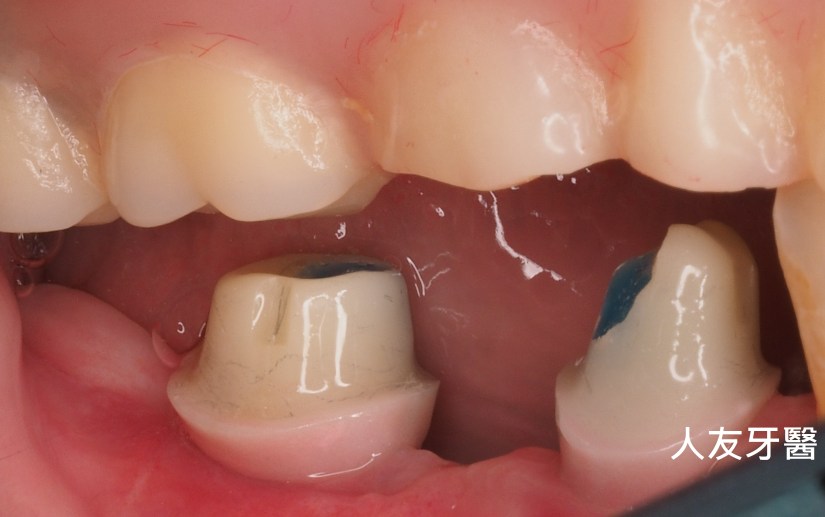
車禍意外撞斷五顆牙齒

患者因為意外車禍,導致門面五顆牙齒都斷裂。

經過醫師診斷評估後,建議可以植入三支人工牙根搭配牙橋贗復。

人工牙根

考量門面問題,也馬上製作一副活動式的美容樹脂假牙讓患者術中都可以有牙齒配戴。

數位設計
全鋯牙橋完成

等待植牙骨密度都到達一定程度,利用電腦掃描設計全鋯牙冠,完成後恢復自然美觀。

術前微笑曲線
術後微笑曲線
3D電腦數位掃描, 全瓷牙, 全鋯牙, 數位, 植牙, 人友牙醫

客製化支柱的重要性

目前市面上所使用的支柱牙常見的是鈦金屬的材質,大多是由廠商統一製作的標準規格,儘管種類繁多,但是臨床上每位患者的口內環境都不相同,廠商給的支柱牙無法符合每位患者的需求。

而目前人友牙醫所使用的材料是氧化鋯材質的客製化支柱牙,是完全量身訂做的服務,符合每位患者臨床實際需求,來幫助患者得到美觀又長久的假牙贋復物。

圖中一顆是金屬支柱牙,一顆是氧化鋯材質的支柱牙,美觀上氧化鋯材質可以依照患者的牙肉高度,自由調整牙齦線的高低,也可以運用外染的效果做出仿真的人工牙肉顏色。相較之下金屬支柱牙就沒辦法做出這種效果喔!

氧化鋯客製化支柱的優點:

1.牙齦線提高較容易清潔,細菌不易堆積,較不會有植體周圍炎的問題(植牙的牙周病)

2.植牙螺絲較不易鬆脫  

3.美觀較佳

 

 

3D電腦數位掃描, 為創, 全瓷牙, 數位, 植牙

3D數位微創植牙

患者白小姐透過3D電腦斷層定位系統及搭配數位掃描製作手術定位板,依據定位板準確安全地在缺牙的位置植入植體 , 過程幾乎沒有傷口,不用切開牙肉、 不用術後縫合、安全性高、植牙速度快及植牙後不用擔心術後腫痛問題 , 患者於術後幾乎都能馬上恢復正常作息。

3D微創植牙經由電腦斷層的系統設計與軟體,直接在電腦裡調整與規劃出精確的植體位置,不僅可以大大縮短手術時間,也能精確預知患者是否需要補骨,以避免將植體植在骨質不佳處,導致植體不穩固、容易脫落的情事發生。

3D電腦數位掃描, 牙套, Uncategorized, 全瓷牙, 植牙

植牙牙套大進化

張小姐於103年植入左下第二大臼齒及右下第二大臼齒 , 因那時候未發展數位掃描電腦設計牙套的科技 , 張小姐植牙完成後是採傳統取模製作內冠金屬外面燒瓷牙套 , 因無螺絲孔洞所以當植牙螺絲鬆動時需整顆牙套拆下來才能把植牙螺絲鎖緊 , 萬一牙套拆不下來就須先破壞牙套才能處理 , 所以維修不易 .

而當張小姐今年左下第一大臼齒因牙根斷裂拔掉需植牙時 , 張小姐聽從醫師的建議植牙完成後是採數位掃描電腦設計全鋯螺絲固位冠牙套 ,因全鋯螺絲固位冠牙套有螺絲孔洞 , 所以當植牙螺絲鬆動時 , 利用螺絲孔洞就可以把植牙的螺絲轉緊 , 不需破壞牙套 , 維修便利 .

OLYMPUS DIGITAL CAMERA
全鋯牙&金屬牙咬合面差異

OLYMPUS DIGITAL CAMERA
無螺絲孔金屬牙套

若您有問題想進一步了解,請填以下空白處,周醫師會親自回信喔!

← 返回

感謝回應。 ✨

全瓷牙, 植牙

舊式門牙牙橋拆除、植牙案例分享

患者因長膿包牙根病變,討論評估後拆除上面門牙及側門牙4顆牙橋,拔除左上側門牙及右上門牙根尖病變的牙根,左上側門牙做根管治療後保留牙根。

OLYMPUS DIGITAL CAMERA
拆除舊牙橋,拔除牙根

傷口癒合後一個月,安排患者做補骨及植牙手術,植入右上門牙及左上側門牙兩支牙根。過渡時期製作一副活動式的牙套讓患者配戴,保持門面美觀。

植入牙根後約半年,測試植體和骨頭結合度達到標準,利用數位掃描製作氧化鋯牙套及牙橋贗復,門面美觀又自然,下圖為完成微笑曲線照OLYMPUS DIGITAL CAMERA

3D電腦數位掃描, 為創, 植牙

植牙常見問題 Q & A ?!

Q1 : 植牙有沒有年齡的限制 ?

身體健康骨質良好的人不受年齡限制 , 都可以接受人工植牙。我們的患者中也有超過70-80歲的患者成功接受人工植牙的例子 , 不過骨胳尚未發育完成的青少年 , 反而不適合植牙 , 因為骨質狀況還不穩定

Q2 : 植牙的成功率是多少 ?

因科技的進步與植牙技術越來越純熟 , 所以人工植牙整體平均成功率在上下顎幾乎都達到90%以上了 ; 另外人工牙根成功的條件,除了病人本身骨質好壞及醫師的技術外,病人良好的口腔衛生保養也非常重要。

Q3 : 植牙過程中會不會痛 ?

植牙都是在局部麻醉下進行的 , 麻醉的劑量跟拔牙差不多 , 所以整個手術過程中是不會感到疼痛。但在麻醉結束後,可能會有一些不適感不舒服,這種不適應的程度因人而異,但大部分病患都不會有什麼明顯的問題。

有些人的不適感也許會持續幾天 , 可能腫脹或瘀青的現象發生 , 一般只要確實的吃藥與冰敷,都能將不適感降到最低。

Q4 : 植牙的傷口大嗎 ?

透過術前的檢查分析 , 醫師可以擬訂一份詳細與精準的手術計畫 , 讓治療過程與費用透明 , 讓患者可以安心

OLYMPUS DIGITAL CAMERA
定位版確認植牙位置

在植牙前先拍攝3D電腦斷層確認骨質狀況與植牙位置 , 再用定位板精準的確定植牙的位置 , 所以傷口較小癒合也較快

← 返回

感謝回應。 ✨

矯正, 美白, 植牙

矯正搭配植牙case

 

治療前
治療前

患者先前有矯正過一次,因為缺牙區縫隙很大,經醫師評估溝通療程為:植牙前先上矯正器,期間植入人工牙根等待植體與骨頭結合密度夠,矯正空間也足夠後開始取模型完成牙套裝置,拆除矯正器後利用居家美白療程來美白牙齒,完成後再裝置相同色階的牙套,顏色美觀又自然。

矯正植牙期間
矯正植牙期間

IMG_3757IMG_3755

OLYMPUS DIGITAL CAMERA
療程完成後

3D電腦數位掃描, 牙套, 全瓷牙, 植牙

植牙之黏著式假牙與螺絲固位冠之差異

植牙的牙套有「黏著式固定假牙」與「螺絲固位冠固定假牙」兩種

傳統的「黏著式固定假牙」會有黏劑殘留 , 導致牙齦腫脹發炎 , 或者是當植牙螺絲鬆動時 , 假牙經過固定黏著上去後拆不下來, 造成清潔維修不易等問題發生。

「螺絲固位冠固定假牙」它設計上有個隨時可以拆卸固定螺絲的維修孔 , 保持我們可以隨時維修、清潔假牙的彈性 , 當植牙螺絲鬆動時 , 可藉由維修孔把螺絲轉緊 , 不會破壞到牙套 , 減少可能的殘留黏著劑問題及維修的問題。

3D電腦數位掃描, 數位, 植牙

使用植牙客制化支柱的好處(認知圖譜)

客制化支柱支撐面比較金屬支柱大、密合度也較高

 

金屬支柱

OLYMPUS DIGITAL CAMERAOLYMPUS DIGITAL CAMERA

客制化氧化鋯不會露出金屬色
客制化氧化鋯不會露出金屬色

若您有問題想進一步了解,請填以下空白處,周醫師會親自回信喔!

 

← 返回

感謝回應。 ✨

植牙

植牙後怎麼保養 ?

現今接受植牙的人愈來愈多,但卻有很多人忽略了植牙後的保養問題。

植牙後常見的問題,人工植牙雖然有著不會蛀的金屬質地,但它附屬的地基「齒槽骨」和周圍覆蓋的牙肉跟我們自己的牙齒一樣,植牙周圍若是清潔不乾淨,也會產生牙周病,造成「植體周圍炎」。

但尚未影響到硬組織,被稱為植體周圍黏膜炎;若已破壞到周遭骨頭,被稱為植體周圍炎。若周遭骨被破壞,最後可能造成植體失敗,需要移除,植牙等於做了白工。分析造成植體周圍疾病的原因,主要是細菌,如牙菌斑;咬合力量過大、牙套完成時殘留的黏著劑未清潔乾淨、製作不當的牙套也會。

 

植體周圍炎牙齒從外表看不出來,需從x光片才能看出來,為避免造成植體周圍組織發炎,甚至破壞到周遭骨頭,平時應注重牙齒清潔保養,選擇刷毛軟的牙刷清潔 , 搭配牙間刷去清潔牙縫 , 並定期回診檢查,確保牙齒健康。

OLYMPUS DIGITAL CAMERA
定期檢查保養

文章之圖片出至:台北市牙科植體學學會發行之漫談植牙